獣医師の渡邉佳和子です。今回は症例紹介記事です!
稟告
「牛のお腹が腫れている」とのことで、以下の写真が添付されていました。

牛の右側撮った写真で、腹底部が浮腫状に腫れているように見えます。
では往診に行ってみましょう~
実際の所見

左側観

右側観

腹底側観
朝に送られてきた写真から想像された状態とは少し違うようです。
腹底部全体というよりは、左の下腹部~腹底にかけてぼってりと腫れています。
触ってみると…(↓タップすると動画が再生されます)
全体が硬いです。
液体が溜まっているような波動感はなく、押していると牛が痛がる様子もみられます。


尾側観
少しわかりづらいですが、左下腹部のゴツゴツとした感じが伝わると思います。
さて、何がどうなって腫れているのでしょうか?
類症鑑別として挙げられるのは
①腹壁ヘルニア→腹膜・筋層からなる腹壁に穴が開き、消化管が腹腔外皮下に出てきてしまう状態
②リンパ腫→リンパ腫が発症し腹腔内のリンパ節が大きく塊状に腫瘍化してしまう状態(BLV陽性の場合)
③打撲による腫れ→皮下組織に炎症が起こり、血腫や水腫ができている状態
以上が予想されました。
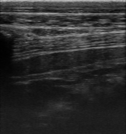
では鑑別のために超音波装置で中の構造を確認しましょう!
繁殖検診で用いる直腸用プローブを、左下腹部の皮膚に押し当てて見てみました。
診療牛


二箇所、場所をずらして撮ったものです。
いずれも皮膚と腹腔臓器の間の筋層が網目状に広がっているように見えます。
低エコー(黒っぽく映ること)に映るのは炎症により血管から漏出した漿液または血液と推察されます。
消化管(内腔に流動性が見られる管腔状の構造)は映らず、均一な構造でもないことから、類症鑑別①②の可能性は否定されました。
比較のため、隣にいた健常牛でも同じ部位で撮影してみます。
健常牛


こうしてみると、先に見た牛に異常があることが一目瞭然ですね!
以上の検査結果から、搾乳パーラーあるいは牛床での打撲や転倒といった外傷性の原因による一時的な腫脹である可能性が高いと結論づけられました。診断が適切であれば、時間と共に少しずつ縮小し柔らかさを取り戻してくるはずなので、しばらく経過を観察してみようと思います。
今回もお読みくださりありがとうございました!
~往診中のひとコマ~
ちょうどいいところに顎置きがあったよ

馬じゃないけど野次馬(&蹄病治療中の代表)



コメント